Skip to main content
Login to MyChart

Help us elevate and expand our care, make breakthroughs in biomedical science and improve community health and wellness.

Donate today

Search UVM Health

After the Fall

After the Fall

How a household tumble led 9-year-old Eliza to brain surgery.


April 16, 2026

Eliza Andrews sits with her mother, Hillary, at Golisano Children's Hospital.

Hillary and Nate Andrews heard a sound every parent dreads: THUMP!

They rushed downstairs to find their 9-year-old daughter, Eliza, sprawled on the hardwood floor between their kitchen and living room. A young gymnast, she had run through the kitchen and tried to vault herself between two kitchen counters at top speed. A formidable goose egg was already forming on the back of her head.

“She had lost her grip and basically threw herself five feet into the air and came down on her head,” says her father, Nate, of Williston, Vermont. “Surprisingly, she seemed OK at first.”

But soon, Eliza began vomiting and complained of pain in the front of her head. Her parents rushed her to the emergency department at University of Vermont Health – UVM Medical Center.

Page components

A Blur of Decisions

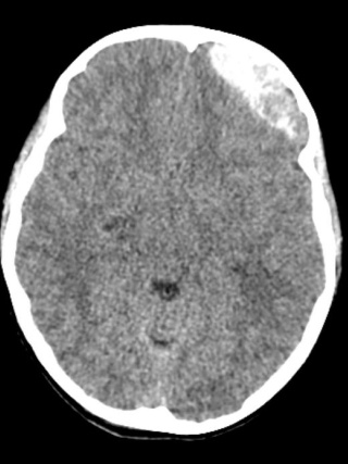
CT scan of an acute epidural hematoma in pediatric patient Eliza Andrews.
A CT scan of an acute epidural hematoma in pediatric patient Eliza Andrews.

A CT scan revealed an acute epidural hematoma. Blood was collecting between her skull and her dura mater, a layer of tissue that helps protect the brain, causing dangerous pressure on her brain that required immediate surgery.

“This was a surreal and terrifying moment,” Nate says.

Within minutes, third-year neurosurgery resident Elizabeth Wicks, MD, arrived. “She brought a much-needed sense of calm,” Nate says.

The on-call neurosurgical team assembled quickly, including chief of neurosurgery Jonathan Russin, MD, and fifth-year resident Katie Callahan, MD.

“It was clear we needed to move quickly,” says Dr. Callahan. “Eliza’s long-term outlook depended on how quickly and safely we could remove the blood and prevent dangerous pressure on her brain.”

Led by Dr. Callahan, the team would have to create a small window in Eliza’s skull to remove the clot. The trip through the hospital to the operating room was a blur for Nate and Hillary.

Surgical Care Built for Kids

Over the next several hours, the surgical team carefully removed the clot. While delicate in any patient, pediatric neurosurgery brings added complexity because a child’s brain differs significantly from an adult’s.

“Treating a child’s brain is not just a smaller version of adult care,” says Dr. Russin. “It requires its own expertise and a system built around it.”

Dr. Russin credits his colleague, Katrina Ducis, MD, the state’s only fellowship-trained pediatric neurosurgeon, for advancing that highly specialized system of care. Her work has strengthened the advanced neurosurgical care available to kids in Vermont and northern New York.

“Dr. Ducis has built an amazing pediatric practice and brought in more of the expertise needed to care for our youngest patients,” he says. “With the support of Golisano Children's Hospital, we can continue expanding our care for kids with complex neurological conditions.”

A Memory of a Braid

9-year-old Eliza Andrews recovers in her hospital bed after brain surgery.
A heart shape bandage covers what today is a barely visible scar above  Eliza’s hairline.

The next morning, the Andrews family gathered around Eliza’s hospital bed. A heart-shaped bandage covered the front left corner of her head, where Dr. Callahan had removed the epidural hematoma.

“Even though we knew the surgery went well, we were nervous about any lasting impacts to her brain,” says Nate.

As the sedation wore off, Eliza finally opened her eyes. Groggy at first, she soon noticed the braid Dr. Callahan had promised her: “Wow! Look at my braid! I thought she was kidding,” she said with a smile.

Later, as her sister Emmy read to her, Eliza reached for the book and started reading it herself.

“These two things might sound small on any other day,” Nate recalls. “But seeing that braid…hearing her read…we knew she was going to be ok.”

Two months after surgery, Eliza is back to the activities she loves.  She has taken a few slow runs at Bolton Valley, is back at school, and looks forward to a summer on horseback at the Livery riding camp. Yet to return to gymnastics, she’s taking it slower around the house. Her youthful grin suggests its still a work in progress.

The Andrews family poses for a photo at the local library.
844-UVM-HEALTH

Give to a Healthier Future

Help us elevate and expand our care, make breakthroughs in biomedical science and improve community health and wellness.

Healthier communities. Healthiest lives. Together.

University of Vermont Medical Center

111 Colchester Ave
Burlington, VT 05401

802-847-0000

Golisano Children's Hospital

111 Colchester Ave
Burlington, VT 05401

802-847-0000

Central Vermont Medical Center

130 Fisher Road
Berlin, VT 05602

802-371-4100

Champlain Valley Physicians Hospital

75 Beekman Street
Plattsburgh, NY 12901

518-561-2000

Elizabethtown Community Hospital

75 Park Street
Elizabethtown, NY 12932

518-873-6377

Alice Hyde Medical Center

133 Park Street
Malone, NY 12953

518-483-3000

Porter Medical Center

115 Porter Drive
Middlebury, VT 05753

802-388-4701

Home Health & Hospice

1110 Prim Road
Colchester, VT 05446

802-658-1900

© 2026 University of Vermont Health
Jump back to top